Get the Smile You’ve Always Wanted with MSE
Nonsurgical treatment for patient's blocked out premolar helps her avoid extractions
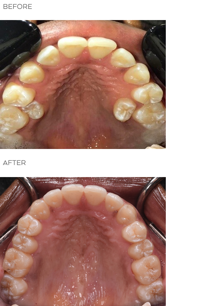
Choosing a dental treatment plan isn’t always straightforward, and it’s important to find the right one for you. Michelle wanted to fix her two blocked out premolars without having them extracted. Believing it must be possible, she saw several NYC orthodontists. They all recommended either pulling the offending teeth or having surgery. Then Michelle found Dr. Lena, who was the first to offer up MSE as an option. This was the nonsurgical, minimally invasive solution Michelle was looking for!

What is MSE?
MSE stands for maxillary skeletal expansion. It’s a nonsurgical method to create more space in a patient’s mouth by expanding the palate. MSE can help resolve dental concerns such as crowded teeth, a narrow upper jaw, and a posterior crossbite. Patients often report relief of non-dental symptoms as well, such as sleep disordered breathing and chronic sinus congestion. Schedule a consultation today to find out if MSE can help you!
“A Match Made in Heaven”
Michelle loved the idea of keeping all her teeth and avoiding surgery. She also liked and trusted Dr. Lena and her staff. They provided her with a wealth of information right from the start and have been exceptionally available to answer questions throughout her care. This was Michelle’s first dental work ever, so she was understandably nervous. Dr. Lena’s consistent communication made her feel reassured.
What is the MSE Process?
If you receive maxillary skeletal expansion from Dr. Lena Sapozhnikoff, the process will go something like this:
- Consultation: You and Dr. Lena discuss your needs and goals, she takes the necessary records, and she goes over everything thoroughly to determine the best treatment plan. Dr. Lena and her team discuss all costs with you so there are never any surprises.
- Installation: She places a piece of hardware on the roof of your mouth, fixing it to the palatal bones with tiny screws. You are provided with proper pain management, of course!
- Active expansion: You go home and begin to turn a key that expands the device and therefore your palate, usually twice daily. Patients report some discomfort the first few times they turn the key. You may hear a “pop” when the palate opens.
- Voila! You finish with the key-turning phase in just a few weeks but keep the device in until your new, more spacious palate heals. At this stage, there is more space between your teeth than before. You might notice a diastema (gap) in the front.
- Next steps: You may need additional appliances, such as Invisalign or braces, to straighten out your teeth or reduce gaps. Dr. Lena will work with you to decide what is best for your specific case.
What Should I Expect During Expansion?

During the expansion phase of Michelle’s treatment, she did experience some pain at first, which quickly subsided. When she heard the characteristic “pop,” she contacted Dr. Lena who explained that meant things were going just right!
As a lifelong allergy sufferer, Michelle was pleasantly surprised when she woke up one morning and her nasal congestion was absent! Previously unaware of this potential benefit of MSE, she was thrilled to be breathing easy. The top of the mouth happens to be the bottom of the nasal cavity, and opening it up often does help patients to breathe better.
Some MSE wearers also notice a slight change in the structure of their face. As the bones in the palate move outward, they push the cheekbones out ever so slightly. This is generally seen as a benefit, as most people like the appearance of their more pronounced cheekbones. However, MSE isn’t meant or planned to correct any facial structure. Dr. Lena will discuss all specific changes you may expect as an MSE patient.
Did You Say I Need Braces?
It’s true, many patients’ teeth require some straightening after their expansion is done. Not to worry! You have choices.
Braces or Invisalign?
Michelle started the straightening phase of her treatment with Invisalign and could have stuck with that choice. She and Dr. Lena decided together, however, that braces would be a better option. A few of Michelle’s teeth needed to rotate and move extensively, which braces could accomplish better and faster than Invisalign.
Braces may be your best option like they were for Michelle. However, if your teeth don’t need dramatic repositioning, Invisalign might be a great choice for you. Invisalign hardware, or “aligners” as they are called, are clear and barely visible. They can also be removed while you eat whatever you like. You’ll visit the orthodontist every 6–8 weeks to get new aligners. Braces, on the other hand, are fixed to the teeth and do come with some dietary restrictions. Your visits to the orthodontist may be more frequent too.
As for being an adult with braces, Michelle considers them a reflection of self-improvement and does not feel shy or self-conscious about them at all. She also points out that as an adult, she is able to stay on top of the needed cleaning and maintenance, something she might not have done when she was younger.

Worth the Trip
Since beginning her treatment with Dr. Lena, Michelle has moved from Brooklyn to Maryland but has not changed dentists! She feels strongly that Dr. Lena offers the best care, so she travels to NYC every 3 to 8 weeks to see her. Start your relationship with Dr. Lena Dentistry today–contact us to learn more about MSE orthodontics, braces, and Invisalign in NYC!